デンタルクリニック沼澤・府中院では
少ないインプラント本数で行う
インプラント術式。
大きく歯ぐきを切らない
無切開フラップレス術式。
あなたのご希望に合った
インプラント治療をご提供いたします。
負担が少ない先進インプラント治療

当院は、インプラント治療が難しいと言われた症例にも対応してきた豊富な実績があります。
精神的、肉体的、経済的負担が少ない低侵襲な術式で、あなたに合ったインプラント治療をご提供できます。

この度、当院のインプラント治療の取り組みについて、詳しく説明した専門サイトを立ち上げました。
歯の欠損がある方、インプラント治療にご興味がある方は、一度ご覧ください。
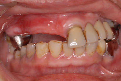
Do you have any of these problems?
※このようなお悩みがあればご相談ください。

実はそのお悩みは
解決できます
低侵襲コンセプト
インプラント治療では、顎の骨に十分な厚みや幅がない場合、従来は骨移植や骨造成が必要でした。
しかし、最近では材料や製品の品質向上、CTによる精密診断、ショートインプラントやオールオン4などの新しい治療法の確立により、骨移植や骨造成を行わずにインプラント治療が可能なケースが増えています。これをグラフトレス術式と呼びます。
また、歯ぐきを大きく切開せず、無切開手術で行うフラップレス術式も行っております。
これら先進のインプラント術式を駆使し、患者様にとって精神的、肉体的、経済的負担が少ない低侵襲なインプラント治療を実現します。

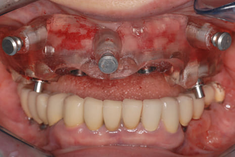
オールオン4インプラント治療(All on 4)は、歯がない場合や状態が悪い場合に、少ないインプラント(片顎4~6本)で全ての歯を支える治療法です。
奥歯に傾斜をつけてインプラントを埋入し、一般的に手術と同時に仮歯を装着するため、即時に審美性が回復します。
骨をつくる骨造成が不要なケースが多く、フラップレス術式で術後の腫れや痛みも抑えられます。
総入れ歯で骨吸収が進んでいる方でも、骨量の多い場所を選んでインプラントを埋入することが可能です。
インプラント治療を諦めている方におすすめします。
| 従来の インプラント |
オールオン4 | |
|---|---|---|
| 治療期間 (※1) |
3~8ヶ月 | 1日 (※2) |
| 手術時間 (※3) |
1~2時間 | 1~2時間 |
| 治療費 | 400~ 1,000万円 |
300~400万円 |
| 審美性・清掃性 | 普通 | より清掃が しやすい |
| 骨造成 | 多くの場合 必要あり |
多くの場合 必要なし |

歯を失って悩む方々が、インターネットや他院からの紹介でオールオン4(オールオンフォー)治療にたどり着いています。
この治療は高度で難しいため、多くの歯科医院で対応が難しいとされますが、私たちは10年以上取り組んできており、多くの患者に安定した結果を提供しています。
治療内容や術中の対応に配慮しているため、オールオン4が適しているかどうか、ぜひ無料カウンセリングにお越しください。

オールオン4インプラント埋入手術

手術後すぐにオールオン4用ブリッジを固定

ショートインプラントは、骨に8mm以下で埋入するインプラントを指します。
長さが短くても、骨と完全に結合すれば安定することが分かっていますが、使用には口腔状態や骨の硬さなどの条件が必要です。
このショートインプラントは、骨移植なしで治療が可能なため、身体的負担の軽減、治療期間の短縮、経済的なメリットがあります。
デンタルクリニック沼澤・府中院では、CT撮影と3Dシミュレーションを用いて安全で確実な治療を行っています。

傾斜埋入は、骨の高さが足りない時にインプラントを斜めに埋入する方法であり、骨の質が良い部分を活用し、初期の安定性が高まります。
この方法は、骨移植などに比べ、身体的負担を軽減し、治療期間を短縮、費用面でもメリットがあります。
デンタルクリニック沼澤・府中院では、CT撮影と3Dシミュレーションを用いて、骨の状態を正確に把握し、高精度な傾斜埋入を実現しています。

フラップレス術式インプラント治療とは、歯肉を切らずに行う無切開手術です。
このフラップレスインプラント治療は、CTや3Dシミュレーションで最適な位置を確定し、手術用ガイドを用いて歯肉を切らずにインプラントを埋入する低侵襲で身体に優しい治療法となります。


ガイデットサージェリーを使用したフラップレス術式によるインプラント治療の流れ。

パンチングによる歯肉の剥離

ガイデットサージェリー

インプラント埋入

縫合しない低侵襲な術後
短いインプラント(ショートインプラント)を使用し、
骨造成を行わないグラフト術式。


抜歯即時の上顎の「オールオン4」インプラント治療。




ガイデットサージェリーを使用したフラップレス術式による上顎の「ALL ON 4」インプラント治療。

術前

抜歯から3カ月

ガイデットサージェリー

術直後
ガイデットサージェリーを使用したフラップレス術式による上顎の「ALL-ON-4」インプラント治療②。




下顎の「オールオン4」インプラント治療。






患者様のプライバシーを守り快適に診療を受けられるよう、固定式の仕切りで広々としたユニットを設計しています。
また、バリアフリーを採用しているため、バギーや足腰に不安がある方でも安心して通院いただけます。
さらに、子供用のキッズスペースやベビーシート・おむつ交換台を備え、小さなお子様連れでも楽しく安心してご来院いただける環境を整えています。



デンタルクリニック沼澤 府中院では、
患者様に納得していただいた状態で治療を提供。
歯や口腔内の状態を確認させていただいた上で、
患者様に最適な治療を提案いたします。
担当するのは、特別な訓練を受けた
トリートメントコーディネーター、歯科医師、歯科衛生士なので、
安心してご相談をいただけます。
院長の神田雄平は「東京歯科大学クラウン・ブリッジ補綴学講座 非常勤講師」「歯科医師臨床研修 指導医」を拝命しております。
理事長の沼澤成文は「ITI SC西東京 Director」「Straumann Guide Plannning Academy 講師」「歯科医師臨床研修 指導医」を務めております。
副理事長の沼澤秀之は「ストローマンガイド プランニングアカデミー 講師」「西東京インプラントアライアンス 主宰」を務めております。
そして、当医療法人のドクター勉強会を定期的に開催し、グループ全体の治療技術・臨床知識の向上を常に行っております。
このことから患者様には、先進の歯科医療とクオリティの高い歯科治療のご提供ができる環境を整えております。



デンタルクリニック沼澤 府中院では、
医療人として医学的知識を追求し続けます。
各学会の認定医や専門医の取得から、国内外の勉強会グループでの症例発表など、患者様に先進で最良な治療を提案するための努力は惜しみません。
RESERVATION
ご予約はこちらから
休診日:日曜・祝日